
Article in Operative Techniques in Plastic and Reconstructive Surgery · November 2002
Abstract:
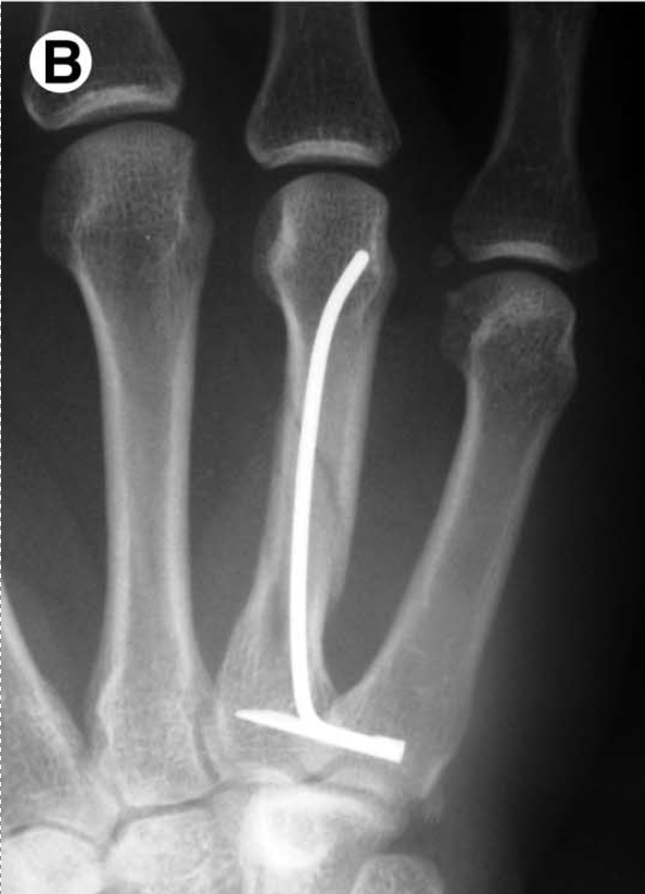
Metacarpal shaft fractures are common but consensus on the best mode of treatment has not been established. Open reduction and internal fixation with plates or screws has been performed for severely displaced fractures. Unfortunately, extensor tendon adhesions and/or unsightly scars frequently follow this form of treatment. Percutaneous flexible intramedulary nailing of metacarpal fractures provides an alternative method that minimizes these problems. The technique is simple and provides the ability to lock the nails to control length and rotation. The nails are inserted using a manually operated slotted awl and usually in an anterograde direction to prevent soft tissue irritation around the metacarpophalangeal joints. This method utilizes flexible nails (1.5 and 1.0 mm.) and closed fluoroscopically assisted reduction. Rotationally unstable or fractures with a tendency to shorten can be locked proximally using a captured transverse pin which effectively controls length and rotation. Metacarpophalangeal flexion block splinting can be used postoperatively and the nails are routinely removed after fracture healing. Experience with this technique has been favorable as it avoids exposure of the fracture, dissection around the extensor mechanism, and scar problems. It has provided excellent functional results and has presented a low complication rate.

Cite this article: Orbay, Jorge & Badia, Alejandro & Indriago, Igor & Infante, Anthony & Khouri, Roger & Gonzalez, Eduardo & Fernandez, Diego. (2002). The Extended Flexor Carpi Radialis Approach: A New Perspective for the Distal Radius Fracture. Techniques in hand & upper extremity surgery. 5. 204-11. 10.1097/00130911-200112000-00004.




