Corrective Osteotomy After Damage of the Distal Radial Physis in Children
Article in Techniques in Hand and Upper Extremity Surgery · December 2011
Abstract:

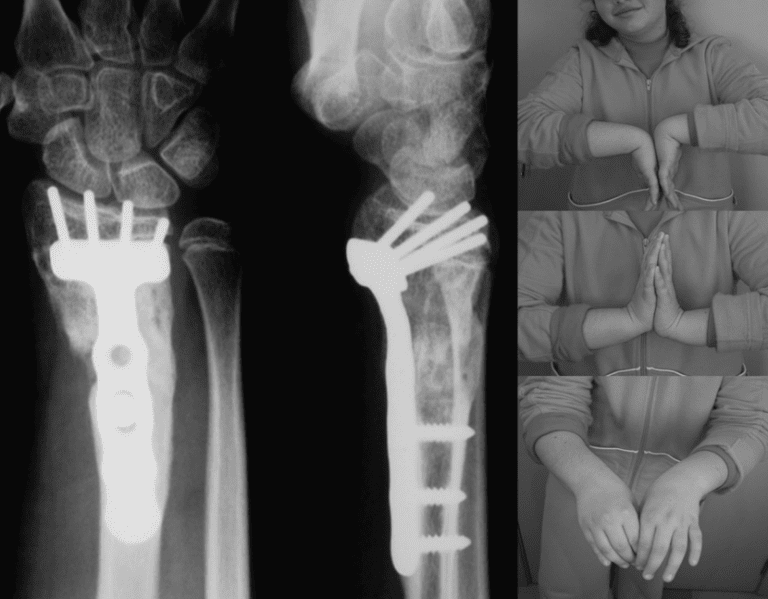
Distal radial physis closure in children can develop severe wrist deformity (radial shortening). These patients can be treated using a single-step surgery. It was carried out in the form of a corrective osteotomy adopting the volar approach, with fixed-angle volar plate fixation and bone grafting from the iliac crest.
There have been few descriptions of the use of this technique in the management of deformities related to early epiphysiodesis in distal radius. The use of fixation systems for the radius, using fixed-angle locking plates, allows radius lengthening adjusted to demand after osteotomy, using the combination of the plate and distal locking pins as spacer—with customsized tricortical iliac crest grafting within the defect.
The freeing of soft parts such as the dorsal periosteum and brachioradialis muscle tendon allows adequate bone lengthening in a single-surgical step.
Key Words: epiphysiodesis, distal radius, osteotomy (Tech Hand Surg 2011;00: 000–000)

Cite this article: de Oliveira, Ricardo & Delgado, Pedro & Badia, Alejandro & Ferreira, Marco. (2011). Corrective Osteotomy After Damage of the Distal Radial Physis in Children. Techniques in hand & upper extremity surgery. 15. 236-42. 10.1097/BTH.0b013e31821da4b5.





