Dr. Badia saves a patient’s forearm from near amputation after a serious saw injury
Agustin Acosta Radio Journalist on » Cada Tarde 1040AM
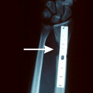
Agustin Acosta is a 40 year old radio journalist who sustained a nearly complete amputation of the distal forearm when a circular saw blade accidentally spun out of its housing on new year’s day. He was taken to the OR as an emergency where the arm was reattached using a steel plate and screws and bone from his pelvis as graft. The extensor tendons and the critical median nerve was also repaired. After a long course of rehabilitation, he has regained full strength in the arm and has near normal sensation. He is a good example of how much function can be regained in an exceptionally motivated patient.
Click here to read about how the patient has regained wrist motion following total wrist replacement surgery.
Follow up X-rays 27 years later
Before X-Rays were taken in 1996 and demonstrate bone loss from saw injury one week post op bone grafting.
After X-Rays shows bone remodeling after 28 years. Graft was taken from iliac crest ( Pelvis).
Warning: Graphic content
Warning: Graphic content


Follow up 27 years later!





