Patient visits OrthoNOW & discovers he has a scaphoid fracture that never healed
Patient fell skateboarding and iced his wrist without being checked by a specialist. After weeks of tenderness and pain the patient decided to visit OrthoNOW where it was discovered that he had a scaphoid fracture.
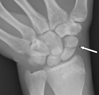
Diagnosis: Right scaphoid delayed union of the mid waist fracture
Procedure: Right scaphoid open reduction & internal fixation with a compression screw.
Scaphoid Fracture
A scaphoid fracture is a common type of wrist injury that occurs in the scaphoid bone, one of the small bones in the wrist, located near the base of the thumb. These fractures can result from a variety of causes, such as a fall on an outstretched hand or a direct blow to the wrist. Scaphoid fractures are significant because they can be tricky to diagnose and, if left untreated, may lead to complications.

Anatomy of the Scaphoid Bone: The scaphoid is a boat-shaped bone located on the thumb side of the wrist, and it plays a crucial role in wrist movement and stability. Due to its location and function, scaphoid fractures can affect wrist function and hand mobility.
Types of Scaphoid Fractures: Scaphoid fractures can vary in location and severity. The most common type is a fracture of the waist of the scaphoid, but fractures can also occur at the proximal (near the forearm) or distal (near the hand) ends of the bone.
Symptoms: Patients with a scaphoid fracture typically experience symptoms such as pain, swelling, tenderness, and difficulty moving the wrist. The pain is often localized to the base of the thumb side of the wrist.
Diagnostic Challenges: Detecting scaphoid fractures can be tough, especially in the beginning, because they might not show up well on regular X-rays. This happens because the scaphoid bone has a unique blood supply that can be affected when it’s broken, making it heal slowly. Dr. Badia uses a special live X-ray technique called fluoroscopy to get a clearer picture and diagnose these fractures more accurately.





