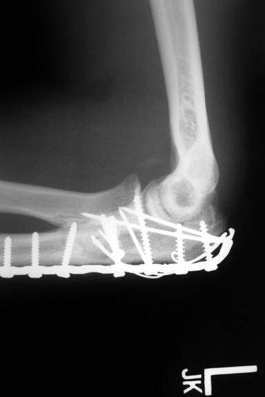
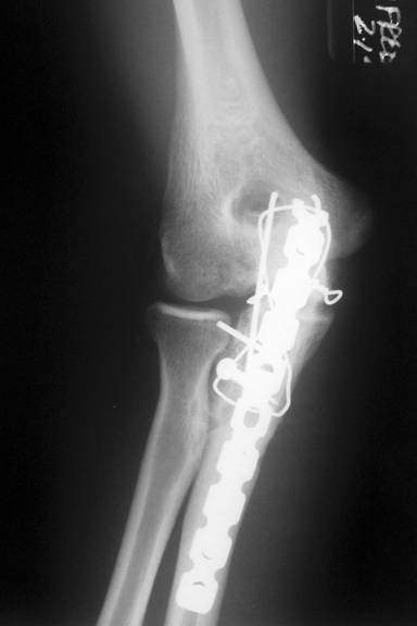
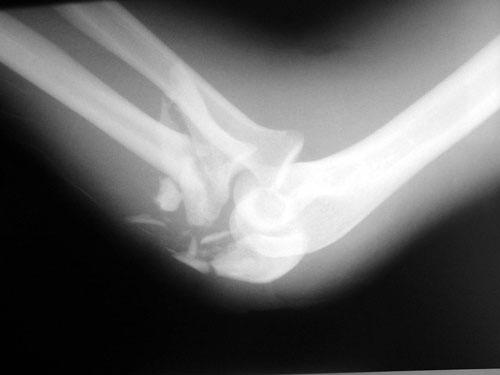
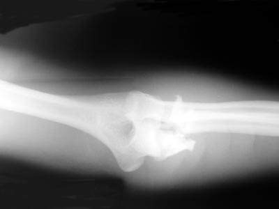
AC is a 25 year old male who was assaulted with a baseball bat. He sustained a shattered proximal ulna fracture with elbow dislocation. Surgery required application of a plate and screws, as well as pinning and cerclage wiring. He worked diligently in therapy to regain the excellent range of motion in his elbow as demonstrated in the photo with me.













