Finger Reattachment Surgery Dr. Alejandro Badia Orthopedic Hand Surgeon Finger Amputation Finger Re-attachment Surgery Badia Hand to Shoulder Center Doral FL
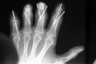
JJ is a delightful and vigorous 73 year old retired man whose favorite hobby is making Westminster chimes clocks for his grandchildren. One ordinary day when he was using a circular saw to cut the molding for another clock, he sustained a devastating injury. He amputated the four fingers of his left hand and was brought to the local emergency room in a small town on the west coast of Florida. His ER doctor astutely sent his wife back to recover two of the fingers from the workshop floor while he searched the state for a hand surgeon who would accept this challenging case. Not only was this essentially a four finger amputation, but it occurred in an elderly man with a history of a cardiac stent procedure.
Although it was known to be high risk, JJ felt his life would be over without the use of his hands for woodworking, and insisted upon finding a team who could take on this challenge. Dr. Badia and Dr. Khouri would later successfully reattach all four fingers after the patient was flown by helicopter to Cedars Medical Center. We can see that JJ not only regained enough use of his hand to tie his shoes and perform gardening, but he also completed the task he began when he met his accident.
He continues to serve as an inspiration to Dr. Badia demonstrating that age and a complicated medical history should not deter one from seeking the best result possible.












