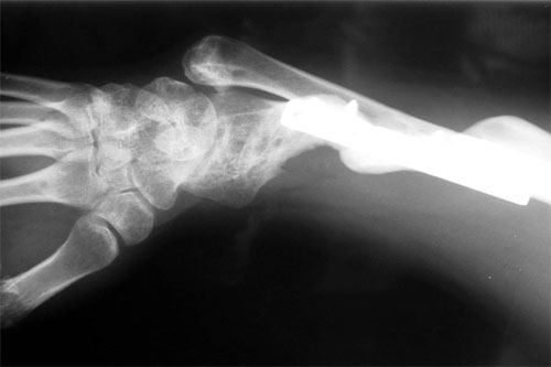
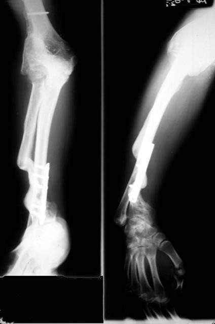
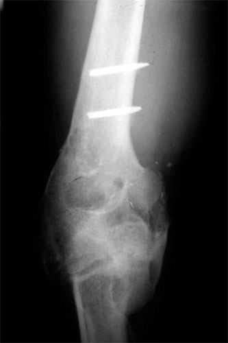
E.R. is a 26 year old male lifeguard who had a severe, unfortunate accident the first time he ever mounted a motorcycle. He was in a coma for many months with head trauma and had fractured his right elbow and forearm at the time of injury. He developed a condition called Heterotopic Ossification which meant that multiple joints «froze-up» due to deposits of calcium in the joint capsules. He was not able to walk until both hips were operated on by an internationally known hip surgeon who then referred him to Dr. Badia to address the stiff Right elbow and deformed forearm. In fact, at the initial visit, the patient stated that he had not moved the right elbow AT ALL for nearly 4 years and was unable to feed or groom himself with that hand. After a series of 3 operations to reconstruct both the elbow and forearm, this young man has gone back to swimming, work and a normal lifestyle.
The pictures depict the application of the dynamic external fixator, which stabilized and provided early motion to the rigid elbow after aggressive release of the capsule and bone excision.









