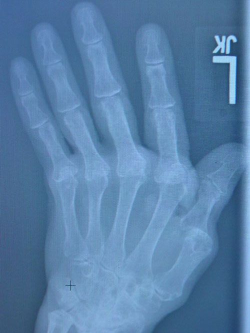
This 62 year old lady presented with a 20 year history of rheumatoid arthritis medically managed by her rheumatologist. Unfortunately, her hand deformities were progressive to the point where many daily activities were hampered. She was understandably concerned about the appearance as well. She underwent replacement arthroplasties of her metacarpophalangeal joints (knuckle joints) using silicone spacer components. This not only improved the function of her hand, but markedly improved the cosmetic appearance as can be seen her.
Related:









