Jammed Finger May Be a Bigger Deal Than You ThinkHand and Upper Limb Orthopedic Surgeon Dr. Alejandro Badia Warns Time is of the Essence in Treating Finger Injuries; Offers Tips Experts call the finger’s middle joint «unforgiving» when injured. That’s why a digit jammed by a hard-thrown ball or smashed in a car door may… [Read More]
Jammed Finger? Dr. Badia explains
Injured Fingers Need Specialized Care
«(HealthNewsDigest.com) – Miami, FL, January 5, 2021 – “There is only a finger difference between a wise man and a fool,” according to Greek philosophy, but, if that finger is injured, “it’s the wise man who has a hand specialist check it out,” says orthopedic surgeon Alejandro Badia MD “The finger could be fractured, dislocated,… [Read More]
Frequent Finger Injuries Among Bahamian Cricketers
Traumatic sports Injuries to the fingers and thumb are commonly occurring, occasionally career ending, lesions to the competitive athlete, particularly cricket players. While often neglected, these injuries can occur in both contact and non-contact sports due to the crucial role the hand plays in many sporting activities. Unfortunately, these rarely receive much attention by the… [Read More]
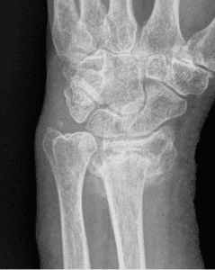
«It’s Only a Wrist Sprain» Often Understates Actual Injury
MIAMI, Sept. 20, 2021 /PRNewswire via COMTEX/ — MIAMI, Sept. 20, 2021 /PRNewswire-PRWeb – That self-diagnosed «only a wrist sprain» could well prove to be an injury in need of surgical repair, according to Miami-based orthopedist Alejandro Badia, who says ligament and cartilage damage or fractures of one or more of the wrist’s small bones… [Read More]
A Difficult Lesson – Common Golf Injuries
Article Published on Baptist Health International Center of Miami Sean Edey is a gifted golf player from the island of Barbados. He is so promising that at 19 years of age he’s already an accomplished member of the golf team at Bethune-Cookman University of Florida, where he attends on an athletic scholarship. So when he… [Read More]
Dr. Badia offers tips to protect the elbow
Hand and Upper Limb Orthopedic Surgeon Dr. Alejandro Badia Calls Elbow ‘Complex Hinge’, Offers Tips To Protect It «Attempting to soften the impact of a fall with outstretched arms, hands open – a natural reaction – may fracture the elbow. « – Dr. Badia
Distal interphalangeal joint to proximal interphalangeal joint homodigital island transfer
Article in Operative Techniques in Plastic and Reconstructive Surgery · February 1997 Abstract: Reconstruction of the damaged proximal interphalangeal (PIP) joint is a challenge in the young active patient. Arthrodesis is disabling and implant arthoplasty is not satisfactory. Microvascular transfer of the second toe PIP joint is technically demanding, requires sacrifice of the toe, and… [Read More]
Arthroscopic Resection of Dorsal Wrist Ganglia and Treatment of Recurrences
Article in The Journal of Hand Surgery British & European Volume · March 2000 The arthroscopic resection of dorsal ganglia of the wrist is a new technique which was first described by Osterman and Raphael (1995). We describe our experience of arthroscopic resection of both primary and recurrent dorsal ganglia of the wrist. Download PDF… [Read More]
A New Perspective for the Distal Radius Fracture
The Extended Flexor Carpi Radialis Approach: A New Perspective for the Distal Radius Fracture Article in Techniques in Hand and Upper Extremity Surgery · January 2002 Abstract: Until recently, buttress plates were the only form of stable internal fixation available for distal radius fractures. The principle that volarly displaced fractures are approached from the volar… [Read More]
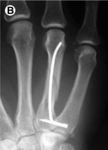
Percutaneous fixation of metacarpal fracture
Article in Operative Techniques in Plastic and Reconstructive Surgery · November 2002 Abstract: Metacarpal shaft fractures are common but consensus on the best mode of treatment has not been established. Open reduction and internal fixation with plates or screws has been performed for severely displaced fractures. Unfortunately, extensor tendon adhesions and/or unsightly scars frequently follow… [Read More]
Corrective osteotomy of distal radius malunion
Corrective osteotomy of dorsally malunited fractures of the distal radius via the extended FCR approach DOI:10.1016/S0363-5023(03)80303-9 Cite this article: Orbay, Jorge & Indriago, Igor & Badia, Alejandro & Khouri, Roger & González, Eduardo & Fernandez, Diego. (2003). Corrective osteotomy of dorsally mai-united fractures of the distal radius via the extended FCR approach. Journal of Hand Surgery-american… [Read More]
- « Previous Page
- 1
- …
- 14
- 15
- 16
- 17
- 18
- …
- 21
- Next Page »














