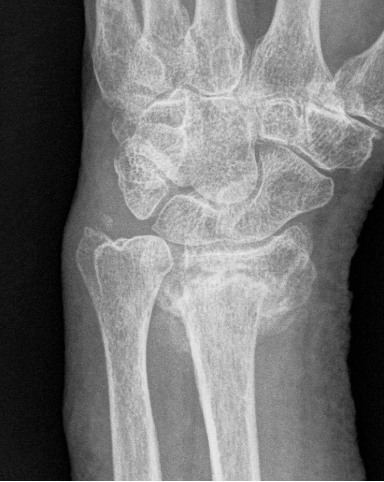
Corrective osteotomy of distal radius malunion
Corrective osteotomy of dorsally malunited fractures of the distal radius via the extended FCR approach DOI:10.1016/S0363-5023(03)80303-9 Cite this article: Orbay, Jorge & Indriago, Igor & Badia, Alejandro & Khouri, Roger & González, Eduardo & Fernandez, Diego. (2003). Corrective osteotomy of dorsally mai-united fractures of the distal radius via the extended FCR approach. Journal of Hand Surgery-american… [Read More]







