Changing The Field Of Orthopedics
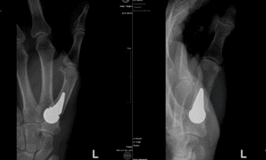
After years of experience in the field, Dr. Badia concluded that sometimes a traditional emergency room could cause more harm to a patient than good when helping them with an orthopedic injury.
The problem with emergency rooms is that they are not ideal for fewer injuries or certainly complaints of joint pain, for example,” shared Alejandro Badia, MD, board-certified hand, wrist, and upper extremity orthopedic surgeon with Badia Hand to Shoulder Center in Florida.»














